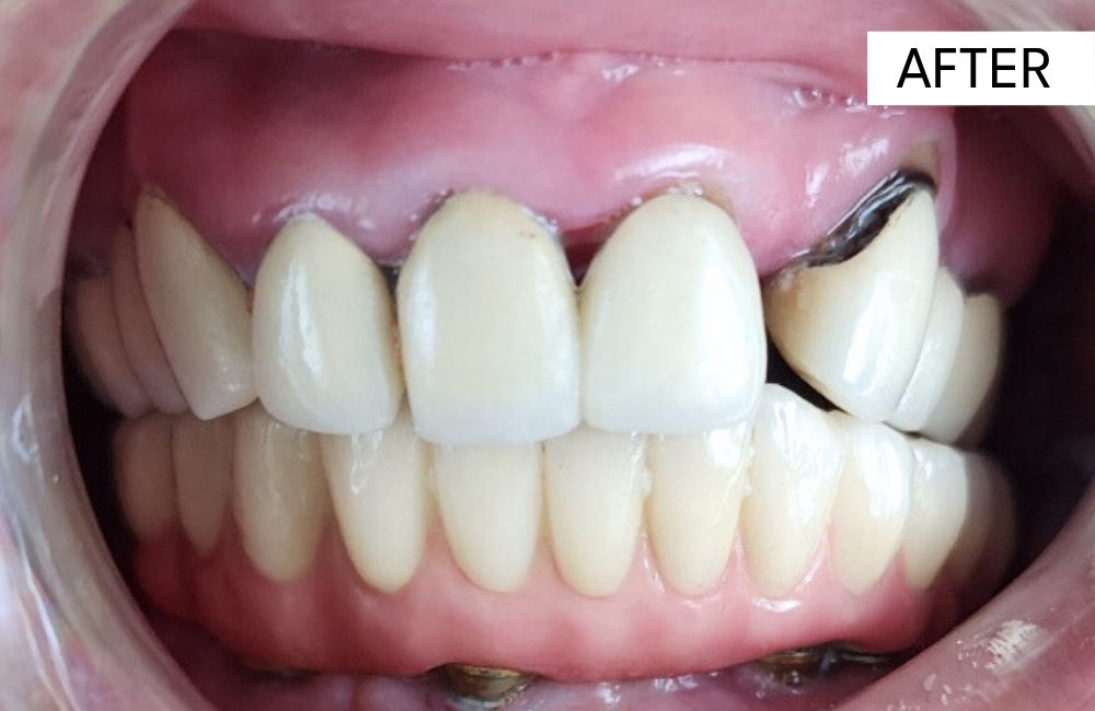
Are you missing one or more teeth and looking for a permanent solution that looks and feels natural? If you are looking for dental implant treatment in Bhopal, then Smile Gallery is the solution for you!
A dental implant is a procedure where the tooth roots are made of titanium and surgically placed into your jawbone. These implants provide a strong base for replacement teeth that look, feel, and function like natural teeth. It is a long-term solution for missing teeth that can completely improve your oral health and quality of life.

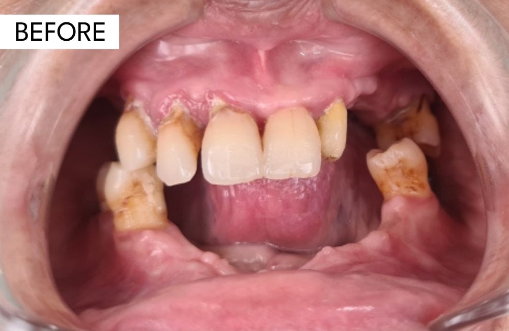
Dental implant treatment is suitable for those who have one or more missing teeth due to injury, decay, or gum disease. It is also an excellent option for those who are tired of dealing with the discomfort of dentures or bridges. Individuals looking for dental implants must have good health and enough bone density in the jawbone to support the implants.




Ignoring missing teeth can lead to several oral health issues, including:




We use advanced dental technology, including digital imaging and 3D treatment planning, to ensure precise implant placement and optimal results.
Our expert dentists specialize in dental implant dentistry in Bhopal and will understand your needs and develop a personalized treatment plan to meet your unique needs.
Your comfort is our top priority, and we provide sedation options to help you relax during your dental implant procedure.
From initial consultation to final restoration, we provide comprehensive care every step of the way to make sure you get a comfortable experience for our patients.
Don’t let missing teeth keep you from smiling confidently and enjoying life. Schedule a consultation with Smile Gallery for dental implant treatment in Bhopal and take the first step towards a healthier, happier smile.
Dental implant procedures are performed under local anesthesia, so you shouldn’t feel any pain during the surgery. After the procedure, you may experience discomfort, which usually subsides within a few days.
Dental implants do not suffer from bodily diseases so they are meant to last forever. However, if not maintained with proper hygiene, dental implants can face damage.
The cost of a dental implant depends on various factors how many implants are required, the type of implant used, and the complexity of the case.
The discomfort you experience after a dental implant procedure is usually manageable and tends to subside within a few days. Your pain may last for a couple of days after the procedure.
Dental implants can be fixed onto a damaged gum through procedures such as gum grafting. Such processes, however entail extra costs.
Yes. Dental implants are structures placed within the gum that support the teeth and not the teeth itself. So, a dental implant can be placed below your dentures.
Specific medical conditions and lifestyle habits can impact your eligibility for dental implants. These include bruxism, gum disease, and those who have uncontrolled diabetes.
Book a visit to Smile Gallery, simply fill out the form below and we will contact you back regarding the intervention you require.